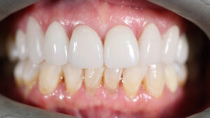
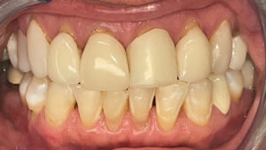
8 upper veneers

Case ID: 4041

Individual results may vary.

Case Details

71 year old male wanted a natural result


Get In Touch

* All indicated fields must be completed.
Please include non-medical questions and correspondence only.

Office Hours

Monday: 8am – 5pm
Tuesday: 9am – 6pm
Wednesday: 9am – 5pm
Thursday: 9am – 6pm
Friday: 8am – 5pm
Saturday: By Appointment

Get Social

Accessibility Toolbar

happy valentine's day Portrait (Document)
Close