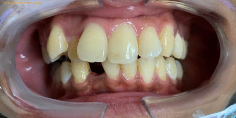
Case ID: 4038
29 year old female 18 months in treatment
* All indicated fields must be completed. Please include non-medical questions and correspondence only.
Monday: 8am – 5pm Tuesday: 9am – 6pm Wednesday: 9am – 5pm Thursday: 9am – 6pm Friday: 8am – 5pm Saturday: By Appointment
Accessibility Toolbar